Mouse Monoclonal Antibody to CBX1
货号:
30802
别名:
CBX; M31; MOD1; p25beta; HP1-BETA; HP1Hsbeta; HP1Hs-beta
应用:
IHC,IF,FCM
反应种属:
Human
抗体类型:
Primary antibody
Swissprot:
P83916
规格:
目录价
在线咨询
Description |
---|
This gene encodes a highly conserved nonhistone protein, which is a member of the heterochromatin protein family . The protein is enriched in the heterochromatin and associated with centromeres. The protein has a single N-terminal chromodomain which can bind to histone proteins via methylated lysine residues, and a C-terminal chromo shadow-domain (CSD) which is responsible for the homodimerization and interaction with a number of chromatin-associated nonhistone proteins. The protein may play an important role in the epigenetic control of chromatin structure and gene expression. Several related pseudogenes are located on chromosomes 1, 3, and X. Multiple alternatively spliced variants, encoding the same protein, have been identified. |
References |
---|
1.Endocr Relat Cancer. 2010 May 18;17(2):455-67. 2.Am J Pathol. 2011 Feb;178(2):672-8. |
Specification |
|
---|---|
Aliases | CBX; M31; MOD1; p25beta; HP1-BETA; HP1Hsbeta; HP1Hs-beta |
Entrez GeneID | 10951 |
Swissprot | P83916 |
clone | 4D7B8 |
WB Predicted band size | 21.4kDa |
Host/Isotype | Mouse IgG1 |
Antibody Type | Primary antibody |
Storage | Store at 4°C short term. Aliquot and store at -20°C long term. Avoid freeze/thaw cycles. |
Species Reactivity | Human |
Immunogen | Purified recombinant fragment of human CBX1 (AA: 1-185) expressed in E. Coli. |
Formulation | Purified antibody in PBS with 0.05% sodium azide |
Application |
|
---|---|
IHC | 1/200 - 1/1000 |
IF | 1/200 - 1/1000 |
FCM | 1/200 - 1/400 |
ELISA | 1/10000 |
Product Image
-
Black line: Control Antigen (100 ng); Purple line: Antigen(10ng); Blue line: Antigen (50 ng); Red line: Antigen (100 ng);
-
Immunofluorescence analysis of Hela cells using CBX1 mouse mAb (green). Blue: DRAQ5 fluorescent DNA dye. Red: Actin filaments have been labeled with Alexa Fluor- 555 phalloidin. Secondary antibody from Fisher (Cat#: 35503)
-
Flow cytometric analysis of Hela cells using CBX1 mouse mAb (green) and negative control (red).
-
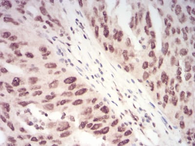
Immunohistochemical analysis of paraffin-embedded human cervical cancer tissues using CBX1 mouse mAb with DAB staining.
-
Immunohistochemical analysis of paraffin-embedded human ovarian cancer tissues using CBX1 mouse mAb with DAB staining.
-
Immunohistochemical analysis of paraffin-embedded human colon cancer tissues using CBX1 mouse mAb with DAB staining.